Holger Bergen, dueño del refugio ubicado en la ciudad de Filadelfia, relató que hace ocho días recibieron al Yurumí en estado grave, por lo que con apoyo técnico de profesionales pudieron brindarle tratamientos previos para bajar la inflamación en la herida sufrida tras haber sido atropellado por un vehículo.
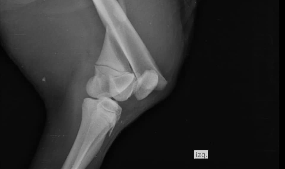
«Lo trajeron al refugio, donde procedimos a limpiarlo y revisarlo, constatando golpes varios y una posible fractura. Se procedió a una intubación con sonda para la primera alimentación a fin de estabilizarlo, y luego rayos X, donde se constato la fractura del fémur, que estaba inflamado también. Luego de una completa estabilización mediante alimentación con sonda, a los 8 días de haberlo recibido, la inflamación había bajado, y se le pudo hacer la cirugía correspondiente. Que yo sepa, nunca se hizo nada similar en Paraguay», explicó.
Finalmente tras varios días de tratamiento y en una situación más estable, ayer pudieron realizar la cirugía que necesitaba para la fractura sufrida y fue todo un éxito, luego de despertar de la anestesia el hormiguero pudo tomar agua por si solo. Ahora queda un tiempo largo de recuperación.
«Especial agradecimiento a la Dra. Maggie Knelsen por aceptar este desafío, y a los Dres. J. Richard Vetter y Félix Adrián Ali Benítez por el asesoramiento y acompañamiento en esta increíble historia! También a la «madre sustituta» Marcos Marchese Ali por su dedicación en los cuidados diarios! Grandes profesionales todos! Muchas gracias!», expresó Bergen a través de las redes sociales.



















Dejá tu comentario